This week I experienced some unforeseen circumstances. I sustained an injury playing soccer for a recreational soccer league that I have been participating in for the last few months. It was a rather serious injury. I was elbowed in the face by my opponent while defending the player with the ball. I immediately felt part of mandible (the lower part of the jaw) go numb. I immediately thought “trigeminal neuralgia” and was sure I sustained an injury to the mandibular division of the trigeminal nerve! Everything I learned in head and neck anatomy was coming back to me at that very moment.
The inferior alveolar nerve is a branch of the mandibular division of the trigeminal nerve, which is Cranial Nerve V. The inferior alveolar nerve enters the mandibular foramen on the posterior side of the mandible near the ramus. Once inside the mandibular canal, the inferior alveolar nerve gives off branches that supply sensory fibers to the lower teeth, this group of nerves is called the inferior dental plexus.

The inferior alveolar nerve becomes the mental nerve (which means nerve of the chin) and comes out of the front of the mandible through the mental foramen. The mental nerve supplies the sensation of the lower lip and chin and there is one on each side. Well, immediately after I suffered the elbow to the face, all the areas supplied by the inferior alveolar nerve went numb. It felt exactly like an inferior alveolar nerve block, the kind one would receive at the dentist when administered a shot of Novocain. I knew right then and there that the Inf. alveolar nerve had been affected and I suspected a fracture.
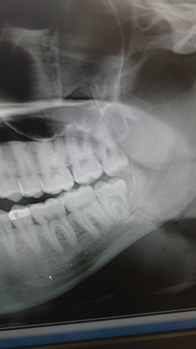
I went to the clinic at school and was referred to a maxillofacial surgeon. Upon arrival at the surgeon’s office, they shot a panoramic X-ray of my jaw. My suspicions were confirmed to nobody’s surprise; I had a fracture just anterior to the angle of the mandible right through the mandibular canal. With the 4th of July over the weekend, I wasn’t looking forward to missing out on the delicious barbequed food. Thankfully, I was able to cut the grilled chicken small enough to enjoy as well.

Here is the X-ray of my jaw. The thick line that runs through the mandible is the nerve I referred to above. Not only did the fracture go straight through the mandibular canal, it went all the way through the mandible. My basic radiology knowledge helped me decipher what was going on in this X-ray but it is pretty clear to see. I am having my jaw wired shut this week.
Having this injury inspired me to research a lot of things that can facilitate healing as well as what interferes with fracture repair, so I may avoid those as well. In the coming weeks I will write about what I do and how they work. I am kind of doing a case report on my own injury for fun. This is going to set me back in my studies for sure, but my professors assured me with proper medical documentation I can make up the work I miss with this injury.
If you have any questions email me at [email protected]