Chiropractic Medicine Student Blog - Illinois

Salter-Harris Fracture Classification

by Hannah Synon | July 7, 2023 | 2 min read

The Salter-Harris classification system is utilized to grade fractures that occur in children and that involve the growth plate. The system grades features according to the involvement of the physis, metaphysis, and epiphysis. Most of the injuries that occur with the growth plate happen during growth spurts, as the physis is the weakest during this period of time. Active children are the most likely to encounter growth plate injuries, as ligaments and joint capsules surrounding the growth plate tend to be more strong and stable.

Once the physis fuses and the individual matures, ligamentous and tendon soft tissue injuries become more frequent.

A Salter Harris Type I fracture is when the fracture line extends through the physis or within the growth plate. An example of this type of fracture is Slipped Capital Femoral Epiphysis.

A Salter Harris Type II fracture is when the fracture extends through both the physis and metaphysis. These growth plate fractures are the most common and occur away from the joint space.

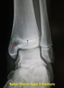
A Salter Harris Type III fracture is an intra-articular fracture that extends from the physis into the epiphysis.

A Salter Harris Type IV fracture is a fracture that passes through the epiphysis, physis, and metaphysis.

And last, a Salter Harris Type V fracture is due to a crush injury to the growth plate. This fracture pattern tends to result from severe injury, and leads to the poorest prognosis.

It is important to be aware of these fractures, as many complications can arise if they are not detected and treated quickly. Prolonged pain, mobility restrictions and growth restrictions are serious outcomes that can negatively influence an individual’s life, so it is important to be aware of the various growth plate fractures as future chiropractic physicians.

Read more about NUHS’ chiropractic and diagnostic imaging programs today!